38歳の男性。健康診断で検査値の異常を指摘されて来院した。意識は清明。体温36.8℃。脈拍84/分、整。血圧128/76mmHg。呼吸数14/分。眼球結膜に軽度の黄染を認める。右上腹部に鶏卵大の腫瘤を触知する。血液所見:赤血球468 万、Hb 13.9g/dl、Ht 42%、白血球7,500、血小板38万。血液生化学所見:血糖98mg/dl、総蛋白7.5g/dl、アルブミン3.9g/dl、尿素窒素12mg/dl、クレアチニン0.6mg/dl、IgG 1,610mg/dl(基準960〜1,960)、総ビリルビン3.4mg/dl、AST 157 IU/l、ALT 158 IU/l、LD 253 IU/l(基準176〜353)、ALP 924 IU/l(基準115〜359)、γ-GTP 307 IU/l(基準8〜50)、アミラーゼ32 IU/l(基準37〜160)。免疫学所見:CRP 0.5mg/dl。HBs抗原・抗体陰性、HCV抗体陰性。α-フェトプロテイン


診断として最も考えられるのはどれか。
普通に考えれば、難しい問題ではない。
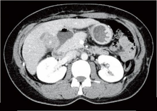
右上腹部に腫瘤触知、ALP/γ-GTPなどの胆道系酵素が上昇、肝炎ウィルス(-)、腫瘍マーカー高値など、いかにもそれっぽい。
あとは、CTで肝臓には何もなくて胆嚢がよくわからない(?)、ERCPで胆管・膵管とも拡張なく綺麗に描出されている(一方で胆嚢は描出されてない)、、といったあたりが読めれば、b 胆嚢癌とわかる。
この問題は、ぜひ105回D問題25とペアで解きたい。というか、この問題(実際の受験者にとっては直近の過去問)のインパクトが強かった人は d に釣られたかもしれない。