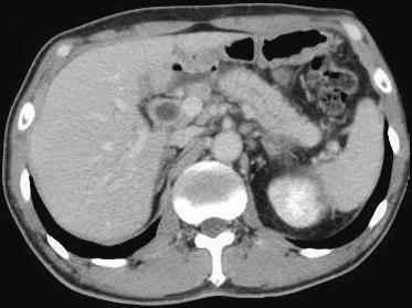
76歳の男性。黄疸を主訴に来院した。3日前に家族に皮膚の黄染を指摘されていた。3年前に唾液腺腫瘤を摘出した。飲酒は機会飲酒。意識は清明。身長168cm、体重57kg。体温36.4℃。呼吸数16/分。脈拍72/分、整。血圧126/82mmHg、眼球結膜に黄染を認める。心音と呼吸音とに異常を認めない。肝・牌を触知しない。尿所見:蛋白(-)、糖1+。血液所見:赤血球465万、Hb14.1g/dL、Ht45%、白血球8,100、血小板16万。血液生化学所見:血糖201mg/dL、HbA1c 6.7%(基準4.3〜5,8)、総蛋白9.6g/dL、アルブミン4.6g/dL、尿素室素19mg/dL、クレアチニン0.5mg/dL、総ピリルビン6.8mg/dL、AST86lU/L、ALT78IU/L、LD540IU/L(基準176〜353)、ALP1,230IU/L(基準115〜359)、Na138mEq/L、K4.OmEq/L、Cl102mEq/L。免疫学所見:CRP O.8mg/dL、抗核抗体 陽性、IgG 3,890mg/dL(基準739〜1,649)、IgA 118mg/dL(基準107〜363)、IgM 132mg/dL(基準46〜260)、CEA 2.8ng/mL(基準5以下)、CA19-9 26U/mL(基準37以下)。腹部造影CTと内視鏡的逆行性胆管膵管造影写真



最も考えられるのはどれか。
正解は d の自己免疫性膵炎。比較的稀な疾病であり、検査所見や画像所見はこの疾病の典型例としてチェックしておく価値があるようだ。
検査では、軽度の肝機能障害、抗核抗体陽性、IgG高値あたり、画像では、膵臓がやたらでかい(CT)、胆管の先細り(ERCP)、膵管の狭小化・壁不正あたりが特徴らしい。私はこの疾患をよく知らないので適当なことを言ってるかもしれない。
ちなみに、国試ルールを適用すればこの疾病を知らなくてもある程度は勝負できる。国試の癌ならば、腫瘍マーカーはほぼ確実に高値になる。本例ではCEA/CA19-9ともに正常範囲なので、大胆に a b eを除外。残るは c dの二択。抗核抗体やらIgGやらから自己免疫ナンチャラにかけるもよし、ERCPを読んで総胆管結石がないと診断するもよし。鉛筆コロコロだって正解率50%だ。
この問題は、ぜひ106回A問題34とペアで解きたい。