次の文を読み、37、38の問いに答えよ。
57歳の男性。会社員。労作時の息苦しさを主訴に来院した。
現病歴:10日前から夜に咳込むようになった。4日前から自宅の階段を昇るときに息苦しさを自覚するようになり、次第に症状が増悪したため受診した。
既往歴:43歳時に尿管結石。会社の健康診断で、45歳時に高血圧を、55歳時に心房細動を指摘されたが、受診しなかった。
生活歴:3か月前からオウムを飼っている。
家族歴:父親が高血圧症で加療中。
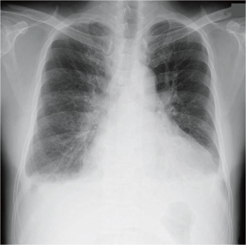
現症:意識は清明。身長167cm、体重64kg。体温36.1℃。脈拍124/分、不整。血圧146/84mmHg。呼吸数30/分。甲状腺の腫大を認めない。聴診上、V音を聴取する。両側の胸部でcoarse cracklesを聴取する。両側の下腿に浮腫を認める。 検査所見:心電図で心房細動を認める。胸部エックス線写真を示す。

37 この患者の胸部エックス線写真の所見として認められるのはどれか。
38 次に行うべき検査として適切なのはどれか。
少し真面目にやってみましょう。
主訴は労作時呼吸苦。既往に未治療の高血圧とAfあり。現症で、頻脈、不整脈、V音、corse crackles。文句なしのうっ血性心不全。ここまで来れば答えは自明。37は、レントゲン見なくても、dが正解とわかる。38も当然aが正解。
以上、至って素直な出題でした。申し訳程度に「生活歴:オウム云々」とあるのがご愛嬌。